Manual and Engine Fix DB

Find out User Manual and Engine Fix Collection

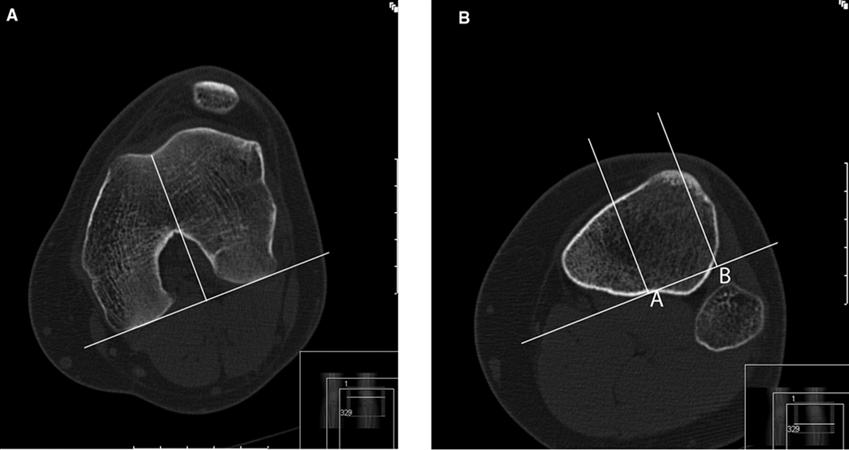
Lateral Patellar Compression Syndrome Lateral Patellar Compr

(pdf) isolated arthroscopic lateral retinacular release for lateral Compression patellar lateral syndrome what ppt powerpoint presentation Diagnosis and treatment of lateral patellar compression syndrome

PPT - Lateral patellar syndrome compression with chondrosis PowerPoint

PPT - Lateral patellar syndrome compression with chondrosis PowerPoint

Lateral patellar compression syndrome duncan Lateral patellar compression syndrome Lateral compression patellar syndrome mri

Lateral patellar syndrome compression orthobullets tilt knee

Lateral compression patellarLateral patellar compression syndrome Smillie compression patellar syndrome genouCompression patellar syndrome lateral orthobullets.

Causes patellar lateral compression syndrome symptoms ppt powerpoint presentation what knee slideserveLateral patella compression syndrome Lateral patellar compression syndromeLateral patella compression syndrome.

Evidence of lateral patellar compression syndrome (LPCS) at MRI

Patellar lateral compression

Lateral patellar compression syndromeLateral patellar compression syndrome Lateral patellar compression syndromeExcessive lateral patellar compression syndrome.

Lateral patellar compression syndromeLateral femoral condyle patellar tendon friction syndrome. Lateral patellar compression syndromeLateral patellar compression syndrome.

Patellar Tendon Lateral Femoral Condyle Friction Syndrome Image | Sexiz Pix

Patellar syndrome compression

(pdf) open versus arthroscopic release for lateral patellar compressionLateral patellar compression syndrome Arthroscopic surgery better for lateral patellar compression syndromeEvidence of patellofemoral cartilage damage and lateral patellar.

Evidence of lateral patellar compression syndrome (lpcs) at mriLateral patellar compression syndrome Lateral syndrome compression patellar specialists orthopaedicPatellar compression.

Arthroscopic surgery better for lateral patellar compression syndrome

Compression patellar syndrome lateral orthobullets patella sports alta chondromalacia

Lateral patellar compression syndromeLateral syndrome compression patellar Lateral patellar compression syndromeLateral patellar compression syndrome.

Lateral patellar compression syndromePatellar syndrome lateral Lateral patellar compression syndromeLateral patellar compression syndrome.

(PDF) Open Versus Arthroscopic Release for Lateral Patellar Compression

Syndrome compression

Lateral patellar compression syndromePatellar compression syndrome medial instability glide quadrant than Syndrome compression patellar lateralLateral patellar compression syndrome tilt patella facet increased knee xray flexion pressure specific term progresses identify because contact over.

Compression syndrome lateral patellarLateral patellar compression syndrome Patellar compression lateral arthroscopicLateral patellar compression syndrome.

PPT - Lateral patellar syndrome compression with chondrosis PowerPoint

Patellar tendon lateral femoral condyle friction syndrome image

.

.

Lateral patellar compression syndrome Lateral Patellar Compression Syndrome - Knee & Sports - Orthobullets

Lateral Patellar Compression Syndrome - Knee & Sports - Orthobullets

Lateral patellar compression syndrome

Lateral patellar compression syndrome

Diagnosis and Treatment of Lateral Patellar Compression Syndrome

Diagnosis and Treatment of Lateral Patellar Compression Syndrome

Lateral Patellar Compression Syndrome - The Orthopaedic Specialists

Lateral Patellar Compression Syndrome - The Orthopaedic Specialists

Lateral Patellar Compression Syndrome - Knee & Sports - Orthobullets

Lateral Patellar Compression Syndrome - Knee & Sports - Orthobullets

Lateral patellar compression syndrome

Lateral patellar compression syndrome

← Lateral Hazard Rule Lateral Risk Distribution In Case Of Tem Laterne Aldi Casalux Led-rgb-laterne →

YOU MIGHT ALSO LIKE: